Lompat ke konten Lompat ke sidebar Lompat ke footer

16+ Adenocarcinoma Bladder Pics

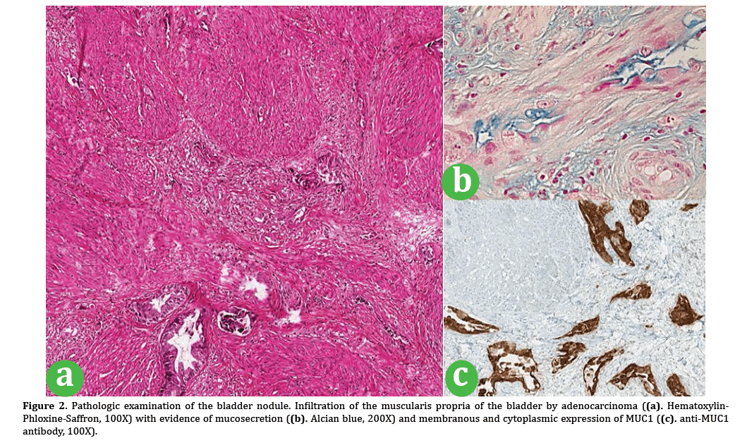
16+ Adenocarcinoma Bladder Pics. Radical cystectomy is the treatment of choice. Adenocarcinoma of the urinary bladder is rare and accounts for only ~1% of all bladder cancers (90% are transitional cell carcinomas).

Bladder Metastasis From Pancreatic Ductal Adenocarcinoma Case Report And Comprehensive Literature Review Insight Medical Publishing
Bladder Metastasis From Pancreatic Ductal Adenocarcinoma Case Report And Comprehensive Literature Review Insight Medical Publishing from pancreas.imedpub.com
Suggested to arise from intestinal metaplasia of the urothelium. Bladder, ureter & renal pelvis. It is defined as neoplasia of epithelial tissue that has glandular origin, glandular characteristics, or both.

Adenocarcinoma is a type of cancer that starts in the mucous glands inside of organs like the lungs, colon, or even breasts.

Adenocarcinoma of the bladder is a rare tumor. Bladder augmentation with segments of small bowel (ileocystoplasty), large intestine (colocystoplasty) or stomach (gastrocystoplasty) has. Learn more about adenocarcinoma and its available treatment options. Learn more about the symptoms, diagnosis.

Posting Komentar untuk "16+ Adenocarcinoma Bladder Pics"